ホワイトニング
Whitening

ホワイトニングで
白く輝く笑顔を

ホワイトニングとは専用の薬剤を使用して歯の漂白して白くする治療方法です。
歯の黄ばみなどの歯の色に対してコンプレックスを持っている方は少なくありません。
ホワイトニングは歯を削ってセラミックの被せ物をしなくても、ご自身の天然歯の色を薬剤を使用して白くする治療法なので、歯を削ることなく白い歯を手に入れることができます。
矢向ホワイト歯科の
ホワイトニング

皆様は笑うときに歯が黄ばんでいたりして、笑おうとしても口元を隠してしまいなかなか思い切り笑えないということはありませんか?
あなたも白く美しい歯を手に入れて、 もっとステキな笑顔になってみませんか?ここでは歯を美しい白さにする「ホワイトニング」についてご紹介します。
ホワイトニングとは、歯に薬液をつけて歯の汚れや着色を漂白して、歯の色調を明るくすることにより白くする方法です。
当院のホワイトニング
- ホームホワイトニング
- オフィスホワイトニング
- デュアルホワイトニング
ホワイトニングで笑顔の
第一印象アップを!

第一印象は、最初の0.6秒の「見た目」で55%が決まるとも言われています。
『笑顔は第一印象アップの最大の武器』
白く輝く歯は、清潔で健康な印象を相手に与えます。
ホワイトニングは天然歯自体を白くする唯一方法です。皆様もホワイトニングで白い歯を手に入れて第一印象のアップをしてみませんか?
ホワイトニングのよくある質問
Q1:希望する白さになるのでしょうか?
必ず効果はあるのですが、もちろん限界もあります。歯専用の色見本で現在の白さの確認と希望の白さをお伝えください。実現可能かどうかお知らせ致します。
Q2:ホワイトニング中やその後に痛みや不快感はありますか?
薬剤により、のどがいがいがした感じや歯肉が炎症をおこす事がまれにありますが、すぐにおさまります。また、オフィスブリーチング同様、一時的に痛みを感じる事がありますが、1〜3日中断する事ですぐにおさまります。それでも痛みが続く場合は歯科医師にご相談ください。
Q3:ホワイトニング中に注意する事はありますか?
なるべくならタバコ、コーヒー、ウーロン茶、カレー、しょう油、赤ワイン等の色素の強い食品は避けるようにしましょう。
Q4:ホワイトニングが受けられない人もいますか?
エナメル質や象牙質に形成不全があり、それによる変色のある方は、十分な効果が得られない事があります。妊婦や授乳時の方。問題はないのですが、あえてこの時期に行う必要はないと思います。
Q5:治療済みの歯もホワイトニングできますか?
詰め物や被せ物は漂白できません。お口の中、全体のホワイトニングを考える場合にはホワイトニングの後にその色に合わせ、つめ物やかぶせ物を替える必要があります。
ホワイトニングの症例
ホワイトイニング CASE.01
-

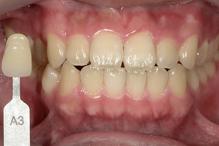
ホワイトニング開始時
-

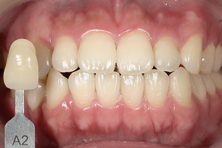
2週間後
-

ホワイトニング2週間後
-

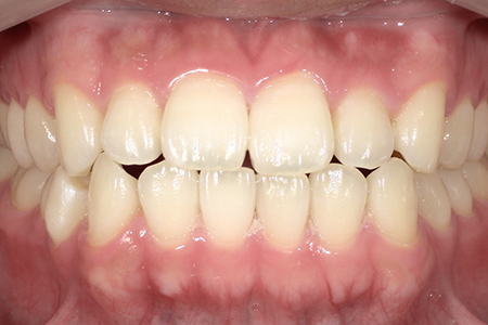
4週間後
-
- 治療内容
- ホームホワイトニング
-
- 治療期間
- 4週間
-
- 費用
- ¥33,000
【リスク・副作用】
個人差により、ご希望の白さにならない場合がある。施術後に獲得した白さは後戻りをすることがある。稀に歯がしみる等の知覚過敏症状が起こる場合がある。
ホワイトニングの治療費
| 治療費( 税込) | |
|---|---|
| ホームホワイトニング | ¥33,000 |
| オフィスホワイトニング | ¥44,000 |
| デュアルホワイトニング | ¥66,000 |
治療上の注意点
- 個人差により、ご希望の白さにならない場合がある。
- 施術後に獲得した白さは後戻りをすることがある。
- 稀に歯がしみる等の知覚過敏症状が起こる場合がある。
- 施術から24時間は、喫煙・お茶・コーヒー・ワイン・カレーなど色の付きやすい食べ物や飲み物・嗜好品は控えて下さい。
- 知覚過敏が重度な方はホワイトニングが出来ない場合がある。
- 生まれつき歯がくすみ・黄ばみのある方は、漂白効果が出ないことがある。
- 神経を取った歯または神経が死んで変色した歯、重度のテトラサイクリンによる歯の黄ばみ、くすみ・暗さの方は効果が出ない。
- 施術後、稀に白さが「まだら」になることががある。
- 虫歯、歯周病など病変のある方はすぐにホワイトニングができないことがある。

